그냥 더운 줄 알았는데…숨 가쁘던 반려견, 조기 발견이 살렸다

인천 스카이동물메디컬센터 부신 종양 수술 증례

본문 이미지 - 격한 운동을 하지 않았는데도 반려견이 숨을 가쁘게 쉰다면 심장, 폐, 내분비계 질환 초기 신호일 수 있다(사진은 기사 내용과 무관함, 이미지투데이). ⓒ 뉴스1
격한 운동을 하지 않았는데도 반려견이 숨을 가쁘게 쉰다면 심장, 폐, 내분비계 질환 초기 신호일 수 있다(사진은 기사 내용과 무관함, 이미지투데이). ⓒ 뉴스1

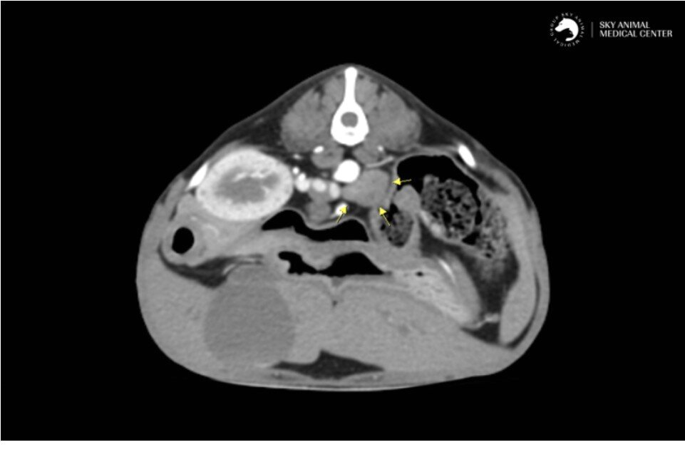
본문 이미지 - 쫑이의 CT 검사 결과 좌측 부신에 비정상적으로 커진 종양이 발견됐다(스카이동물메디컬센터 제공). ⓒ 뉴스1
쫑이의 CT 검사 결과 좌측 부신에 비정상적으로 커진 종양이 발견됐다(스카이동물메디컬센터 제공). ⓒ 뉴스1

본문 이미지 - 인천 스카이동물메디컬센터 수술실(동물병원 제공). ⓒ 뉴스1
인천 스카이동물메디컬센터 수술실(동물병원 제공). ⓒ 뉴스1

본문 이미지 - 문종선 인천 스카이동물메디컬센터 대표원장 ⓒ 뉴스1
문종선 인천 스카이동물메디컬센터 대표원장 ⓒ 뉴스1

대표이사/발행인 : 이영섭

|

편집인 : 채원배

|

편집국장 : 김기성

|

주소 : 서울시 종로구 종로 47 (공평동,SC빌딩17층)

|

사업자등록번호 : 101-86-62870

|

고충처리인 : 김성환

|

청소년보호책임자 : 안병길

|

통신판매업신고 : 서울종로 0676호

|

등록일 : 2011. 05. 26

|

제호 : 뉴스1코리아(읽기: 뉴스원코리아)

|

대표 전화 : 02-397-7000

|

대표 이메일 : webmaster@news1.kr

Copyright ⓒ 뉴스1. All rights reserved. 무단 사용 및 재배포, AI학습 활용 금지.