소아 모야모야병 유병률 늘었지만 치명적 합병증 40% 줄어

서울대병원 연구팀, 전국 소아 모야모야병 장기 역학 분석
18세 미만 환자 4300여명 건보 데이터…치료 질 향상 확인

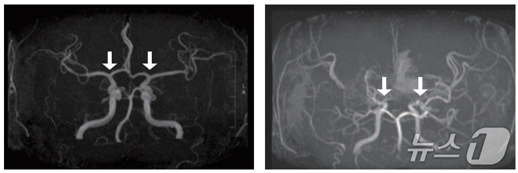
본문 이미지 - (왼쪽부터)정상 및 모야모야병 환자의 뇌혈관.(서울대병원 제공)
(왼쪽부터)정상 및 모야모야병 환자의 뇌혈관.(서울대병원 제공)

본문 이미지 - (왼쪽부터)서울대병원 김승기 교수·김상완 연구교수, 서울의대 이중엽 교수, 삼성서울병원 이종석 교수.(서울대병원 제공)
(왼쪽부터)서울대병원 김승기 교수·김상완 연구교수, 서울의대 이중엽 교수, 삼성서울병원 이종석 교수.(서울대병원 제공)

대표이사/발행인 : 이영섭

|

편집인 : 채원배

|

편집국장 : 김기성

|

주소 : 서울시 종로구 종로 47 (공평동,SC빌딩17층)

|

사업자등록번호 : 101-86-62870

|

고충처리인 : 김성환

|

청소년보호책임자 : 안병길

|

통신판매업신고 : 서울종로 0676호

|

등록일 : 2011. 05. 26

|

제호 : 뉴스1코리아(읽기: 뉴스원코리아)

|

대표 전화 : 02-397-7000

|

대표 이메일 : webmaster@news1.kr

Copyright ⓒ 뉴스1. All rights reserved. 무단 사용 및 재배포, AI학습 활용 금지.