"나이 많다고 검진 제외됐는데"…한 번 CT찍고 폐암 조기발견

70세 이상 남성 대상 적합한 치료로도 이어져
한림대학교성심병원 호흡기내과 교수 등 연구

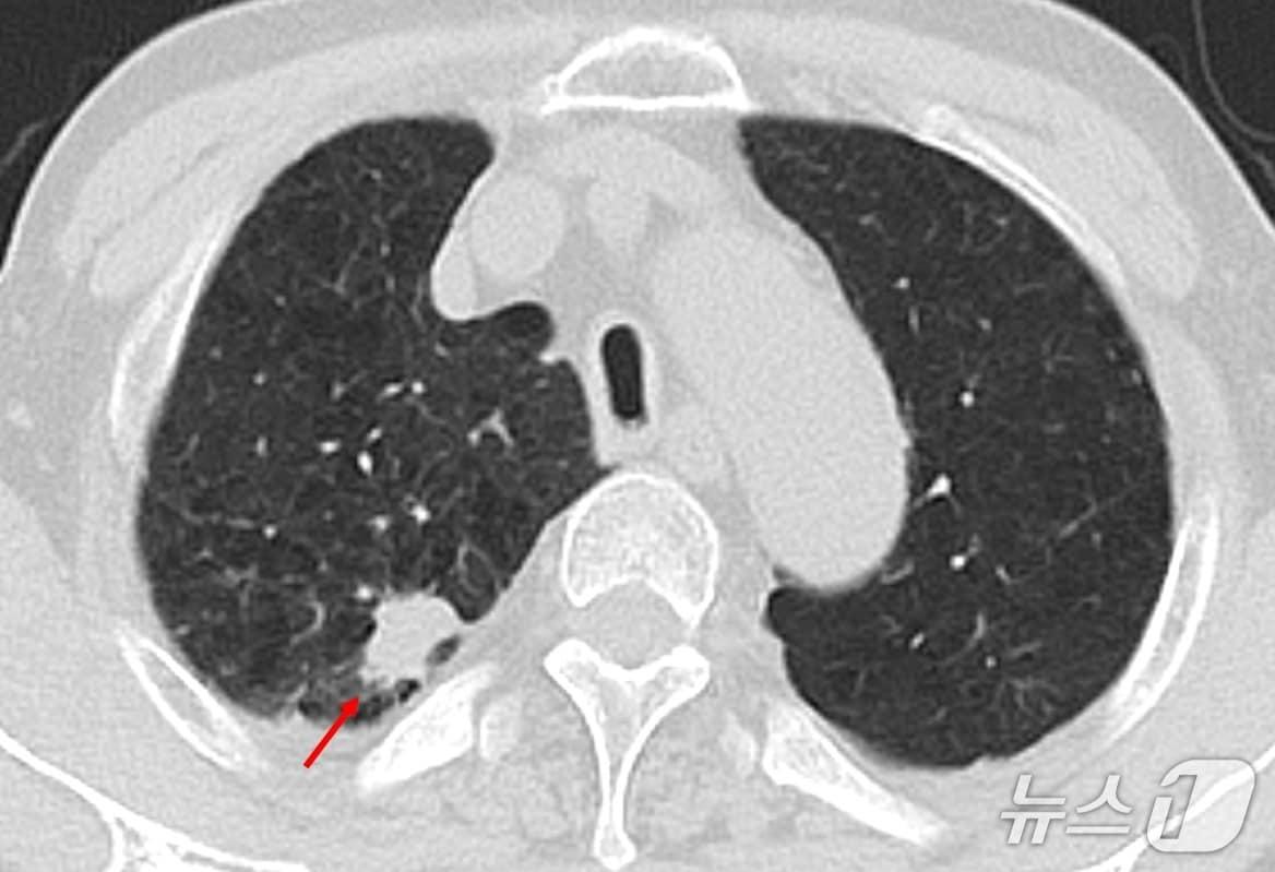
본문 이미지 - 저선량 흉부 CT 검사에서 폐결절 확인 사진(한림대학교동탄성심병원 제공)
저선량 흉부 CT 검사에서 폐결절 확인 사진(한림대학교동탄성심병원 제공)

본문 이미지 - 한림대동탄성심병원 저선량 흉부 CT 검사 모습(한림대동탄성심병원 제공)
한림대동탄성심병원 저선량 흉부 CT 검사 모습(한림대동탄성심병원 제공)

대표이사/발행인 : 이영섭

|

편집인 : 채원배

|

편집국장 : 김기성

|

주소 : 서울시 종로구 종로 47 (공평동,SC빌딩17층)

|

사업자등록번호 : 101-86-62870

|

고충처리인 : 김성환

|

청소년보호책임자 : 안병길

|

통신판매업신고 : 서울종로 0676호

|

등록일 : 2011. 05. 26

|

제호 : 뉴스1코리아(읽기: 뉴스원코리아)

|

대표 전화 : 02-397-7000

|

대표 이메일 : webmaster@news1.kr

Copyright ⓒ 뉴스1. All rights reserved. 무단 사용 및 재배포, AI학습 활용 금지.