“사람이 놓친 폐렴 환자 AI가 찾았다”…의사도 인정한 ‘의료기기’

[AI 의료시대]③“AI 잘 활용하는 병원·의료진 경쟁력 높아“
'뷰노메드 펀더스'로 만성질환자 건강관리 효율↑…실명질환 조기 포착

편집자주 ...4차 산업혁명과 인공지능(AI) 기술의 발달로 의료계에서도 AI 의료가 각광 받고 있다. 윤리적 측면과 실효성 면에서 사회적 찬반 논란이 일고 있는 가운데 뉴스1은 글로벌 AI 의료시장의 현황과 국내 AI 의료 기업의 현주소를 진단하고, 실제 AI 의료기기가 의료 현장에서 사용되는 사례를 통해 AI 의료의 현주소를 살펴보기 위해 총 3편의 기획 기사를 준비했다.

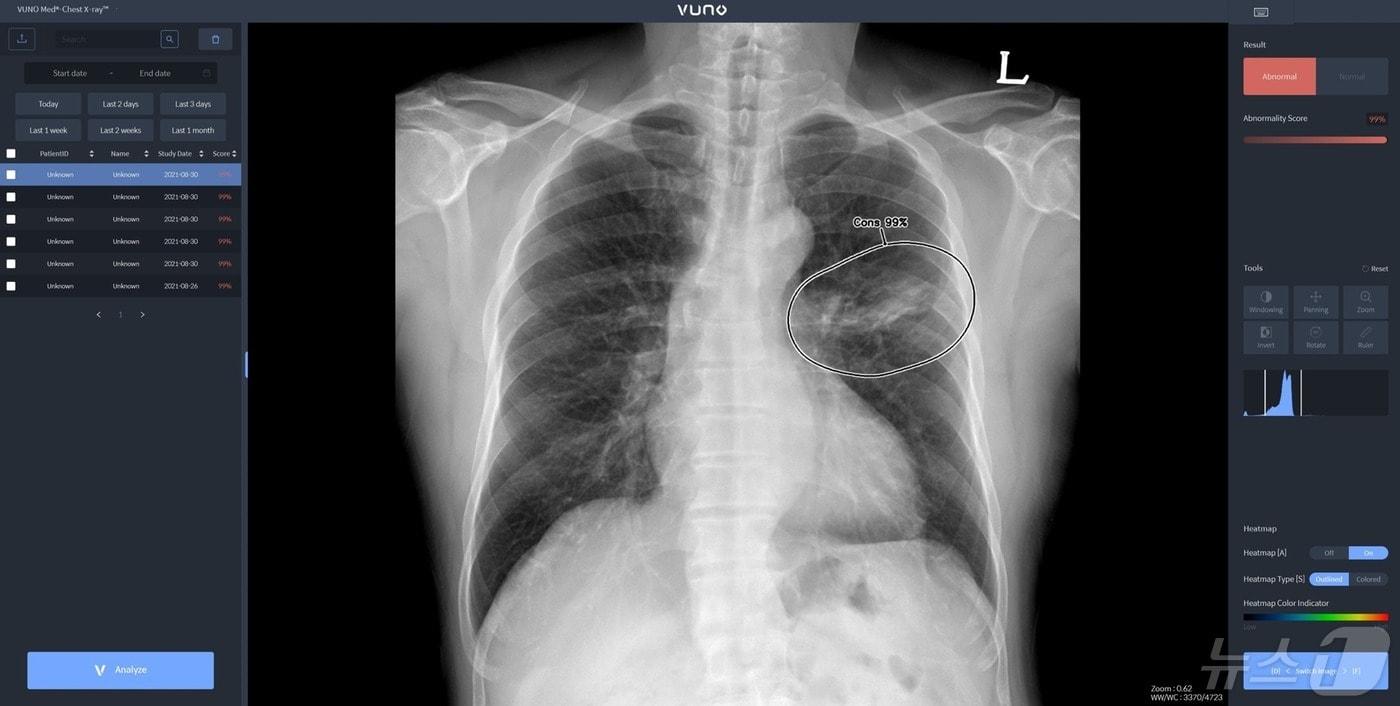
본문 이미지 - 뷰노메드 체스트 엑스레이 활용 모습.(뷰노 제공)/뉴스1 ⓒ News1
뷰노메드 체스트 엑스레이 활용 모습.(뷰노 제공)/뉴스1 ⓒ News1

본문 이미지 - 뷰노메드 펀더스 AI를 통해 안저를 분석하는 모습.(뷰노 제공)/뉴스1 ⓒ News1
뷰노메드 펀더스 AI를 통해 안저를 분석하는 모습.(뷰노 제공)/뉴스1 ⓒ News1

본문 이미지 - 환자 진료에 AI 의료 솔루션을 활용하고 있는 이치훈(왼쪽)·민준기 세실내과 원장.(세실내과 제공)/뉴스1 ⓒ News1
환자 진료에 AI 의료 솔루션을 활용하고 있는 이치훈(왼쪽)·민준기 세실내과 원장.(세실내과 제공)/뉴스1 ⓒ News1

대표이사/발행인 : 이영섭

|

편집인 : 채원배

|

편집국장 : 김기성

|

주소 : 서울시 종로구 종로 47 (공평동,SC빌딩17층)

|

사업자등록번호 : 101-86-62870

|

고충처리인 : 김성환

|

청소년보호책임자 : 안병길

|

통신판매업신고 : 서울종로 0676호

|

등록일 : 2011. 05. 26

|

제호 : 뉴스1코리아(읽기: 뉴스원코리아)

|

대표 전화 : 02-397-7000

|

대표 이메일 : webmaster@news1.kr

Copyright ⓒ 뉴스1. All rights reserved. 무단 사용 및 재배포, AI학습 활용 금지.