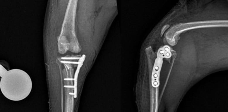
노령견 십자인대파열 수술 특화 시스템 구축TPLO 수술을 받은 반려견 영상 사진(예은동물의료센터 제공) ⓒ 뉴스1권기범 황은혜 남태훈 수의사(예은동물의료센터 제공) ⓒ 뉴스1관련 키워드펫헬스케어동물반려동물최서윤 동물문화전문기자 "반려동물 보호자에 진짜 정보 주고파…강력한 처방전은 공감"가축방역 하느라 집에도 못 간다…"수의사, 빛과 소금 같은 존재"관련 기사"간식 양보해 줄 남친 구함"…15살 노견 공개 구혼에 댓글 폭주"댕댕이 여름 산책룩 준비"…BYC, 부산서 신상 '개리야스' 공개체험형 '펫푸드 키친' 공개…우리와, 케이펫페어 부산 출격법정전염병이라면서…"광견병 의무접종, 시술비도 지원 필요""대국민 소통 확대"…대한수의사회, 임원 워크숍서 위상 강화 계획