"14살인데 수술해도 될까요?"…담낭·비장 수술 결정한 이유

월드펫동물메디컬센터 14살 푸들 수술 증례

본문 이미지 - 많은 보호자들이 반려견의 나이를 이유로 수술을 미루거나 포기하기도 한다(클립아트코리아, 사진은 기사 내용과 무관함).ⓒ 뉴스1
많은 보호자들이 반려견의 나이를 이유로 수술을 미루거나 포기하기도 한다(클립아트코리아, 사진은 기사 내용과 무관함).ⓒ 뉴스1

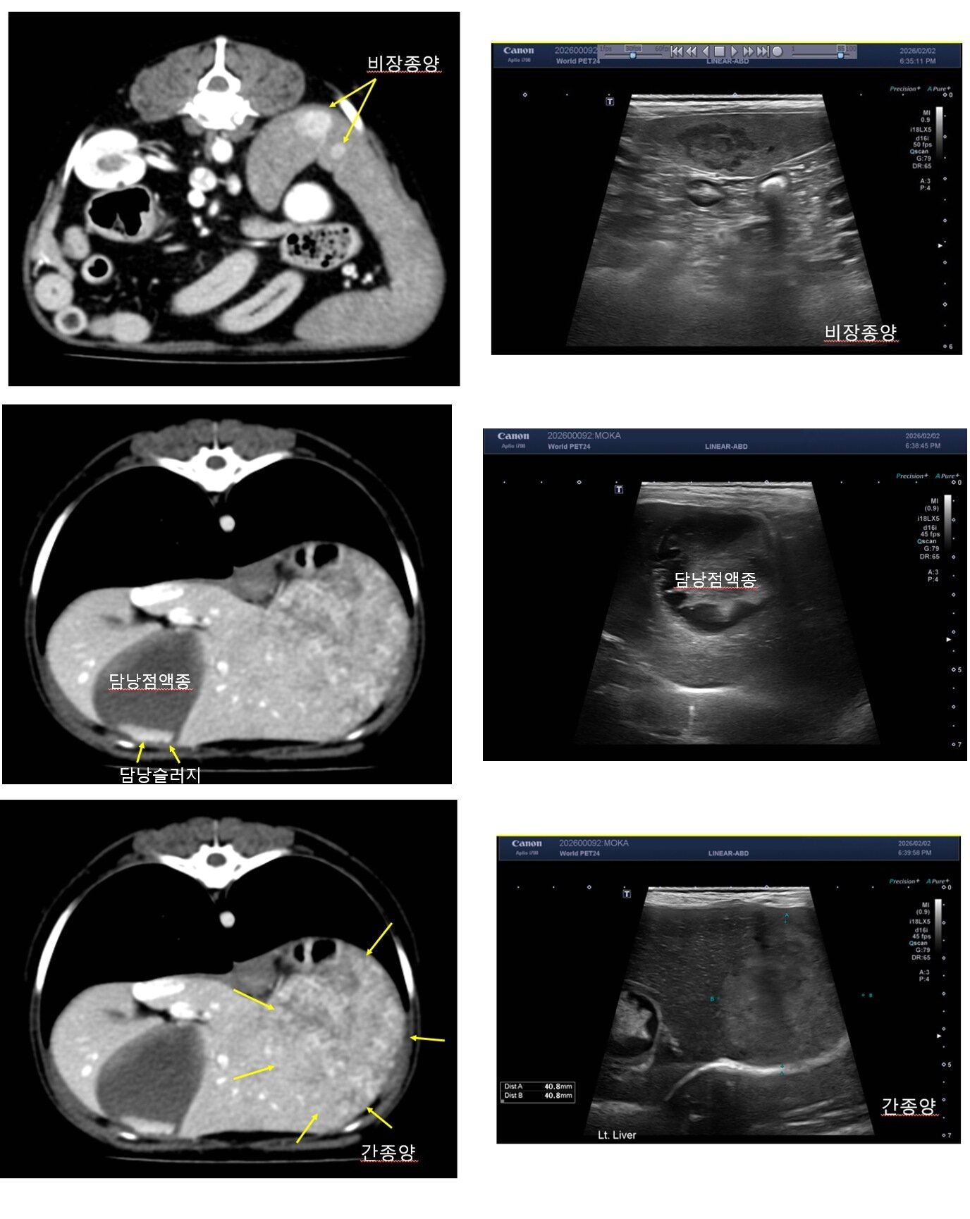
본문 이미지 - 14세 고령견에서 발견된 다발성 복강 내 장기 이상(월드펫동물메디컬센터 제공) ⓒ 뉴스1
14세 고령견에서 발견된 다발성 복강 내 장기 이상(월드펫동물메디컬센터 제공) ⓒ 뉴스1

본문 이미지 - 차진원 24시 월드펫동물메디컬센터 원장 ⓒ 뉴스1
차진원 24시 월드펫동물메디컬센터 원장 ⓒ 뉴스1

대표이사/발행인 : 이영섭

|

편집인 : 채원배

|

편집국장 : 김기성

|

주소 : 서울시 종로구 종로 47 (공평동,SC빌딩17층)

|

사업자등록번호 : 101-86-62870

|

고충처리인 : 김성환

|

청소년보호책임자 : 안병길

|

통신판매업신고 : 서울종로 0676호

|

등록일 : 2011. 05. 26

|

제호 : 뉴스1코리아(읽기: 뉴스원코리아)

|

대표 전화 : 02-397-7000

|

대표 이메일 : webmaster@news1.kr

Copyright ⓒ 뉴스1. All rights reserved. 무단 사용 및 재배포, AI학습 활용 금지.