"반려견 다리 수술, 어디 맡길까"…정형외과 동물병원 선택 기준은

정형외과 수의사가 제시한 6가지 체크포인트

본문 이미지 - 넬동물의료센터 내 정형외과 특화 동물병원 바르고바르개에서 척추 골절 수술과 재활치료를 받은 반려견(바르고바르개 제공) ⓒ 뉴스1
넬동물의료센터 내 정형외과 특화 동물병원 바르고바르개에서 척추 골절 수술과 재활치료를 받은 반려견(바르고바르개 제공) ⓒ 뉴스1

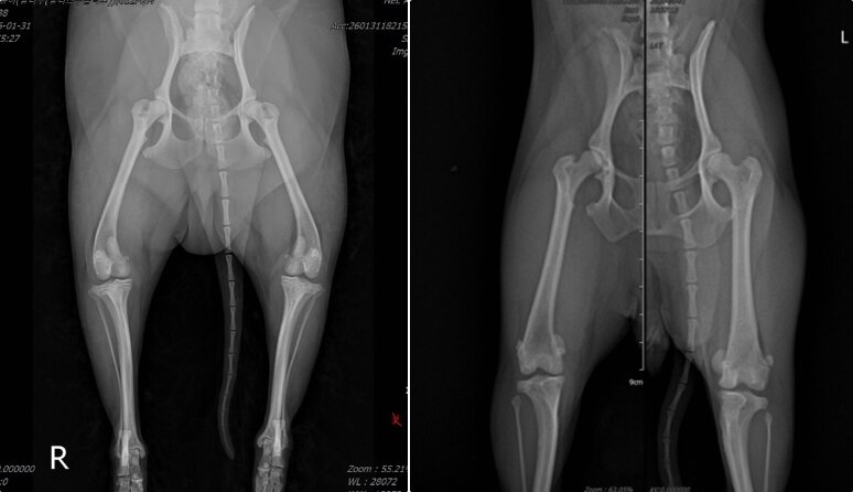
본문 이미지 - 왼쪽처럼 촬영 시 무릎뼈(슬개골)와 허벅지뼈가 안쪽으로 돌아가 각도 측정이 어렵다. 오른쪽 사진처럼 허벅지뼈 정렬을 맞춰 촬영해야 변형 정도와 수술 위치를 정밀하게 확인할 수 있다(바르고바르개 제공). ⓒ 뉴스1
왼쪽처럼 촬영 시 무릎뼈(슬개골)와 허벅지뼈가 안쪽으로 돌아가 각도 측정이 어렵다. 오른쪽 사진처럼 허벅지뼈 정렬을 맞춰 촬영해야 변형 정도와 수술 위치를 정밀하게 확인할 수 있다(바르고바르개 제공). ⓒ 뉴스1

본문 이미지 - 수중 재활치료를 받는 반려견들(바르고바르개 제공) ⓒ 뉴스1
수중 재활치료를 받는 반려견들(바르고바르개 제공) ⓒ 뉴스1

본문 이미지 - 이종협 24시 넬동물의료센터 바르고바르개 대표원장 ⓒ 뉴스1
이종협 24시 넬동물의료센터 바르고바르개 대표원장 ⓒ 뉴스1

대표이사/발행인 : 이영섭

|

편집인 : 채원배

|

편집국장 : 김기성

|

주소 : 서울시 종로구 종로 47 (공평동,SC빌딩17층)

|

사업자등록번호 : 101-86-62870

|

고충처리인 : 김성환

|

청소년보호책임자 : 안병길

|

통신판매업신고 : 서울종로 0676호

|

등록일 : 2011. 05. 26

|

제호 : 뉴스1코리아(읽기: 뉴스원코리아)

|

대표 전화 : 02-397-7000

|

대표 이메일 : webmaster@news1.kr

Copyright ⓒ 뉴스1. All rights reserved. 무단 사용 및 재배포, AI학습 활용 금지.