추석 음식 먹다가…강아지가 삼킨 이쑤시개, 위 뚫고 간까지 박혔다

본동물의료센터 "명절 반려견 이물 섭취 주의"

본문 이미지 - 추석 명절에는 꼬치전 등 음식 준비 과정에서 흔히 쓰이는 이쑤시개가 강아지에게는 큰 위험이 될 수 있다(사진 이미지투데이). ⓒ 뉴스1
추석 명절에는 꼬치전 등 음식 준비 과정에서 흔히 쓰이는 이쑤시개가 강아지에게는 큰 위험이 될 수 있다(사진 이미지투데이). ⓒ 뉴스1

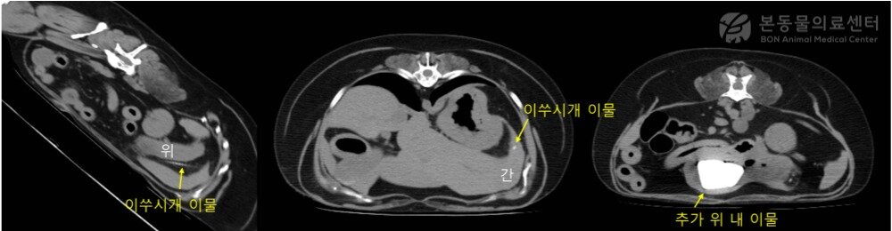
본문 이미지 - CT 검사 결과 발견된 이쑤시개 등 이물(본동물의료센터 제공) ⓒ 뉴스1
CT 검사 결과 발견된 이쑤시개 등 이물(본동물의료센터 제공) ⓒ 뉴스1

본문 이미지 - 응급 개복 수술을 통해 제거한 이쑤시개(본동물의료센터 제공) ⓒ 뉴스1
응급 개복 수술을 통해 제거한 이쑤시개(본동물의료센터 제공) ⓒ 뉴스1

본문 이미지 - 최미현 본동물의료센터 영상의학과 원장 ⓒ 뉴스1
최미현 본동물의료센터 영상의학과 원장 ⓒ 뉴스1

대표이사/발행인 : 이영섭

|

편집인 : 채원배

|

편집국장 : 김기성

|

주소 : 서울시 종로구 종로 47 (공평동,SC빌딩17층)

|

사업자등록번호 : 101-86-62870

|

고충처리인 : 김성환

|

청소년보호책임자 : 안병길

|

통신판매업신고 : 서울종로 0676호

|

등록일 : 2011. 05. 26

|

제호 : 뉴스1코리아(읽기: 뉴스원코리아)

|

대표 전화 : 02-397-7000

|

대표 이메일 : webmaster@news1.kr

Copyright ⓒ 뉴스1. All rights reserved. 무단 사용 및 재배포, AI학습 활용 금지.