"침대 조심하세요"…강아지 낙상 후 골절된 앞다리 치료법은[VIP벳]

VIP동물의료센터 청담점 질병 치료 사례
강아지 상완골 관절 융기 골절 재건술은

본문 이미지 - 몰티즈, 푸들과 같은 소형견들은 침대에서 무리하게 뛰어내리거나 허리를 세우다가 다치기 쉬우니 주의해야 한다(사진 이미지투데이). ⓒ 뉴스1
몰티즈, 푸들과 같은 소형견들은 침대에서 무리하게 뛰어내리거나 허리를 세우다가 다치기 쉬우니 주의해야 한다(사진 이미지투데이). ⓒ 뉴스1

본문 이미지 - 낙상으로 인해 오른쪽 앞다리 골절상을 입은 강아지의 엑스레이 사진(VIP동물의료센터 제공) ⓒ 뉴스1
낙상으로 인해 오른쪽 앞다리 골절상을 입은 강아지의 엑스레이 사진(VIP동물의료센터 제공) ⓒ 뉴스1

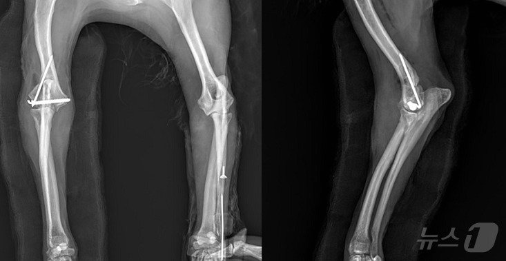
본문 이미지 - 강아지의 앞다리 수술 후 촬영한 엑스레이 사진(VIP동물의료센터 제공) ⓒ 뉴스1
강아지의 앞다리 수술 후 촬영한 엑스레이 사진(VIP동물의료센터 제공) ⓒ 뉴스1

본문 이미지 - 김종인 VIP동물의료센터 청담점 원장 ⓒ 뉴스1
김종인 VIP동물의료센터 청담점 원장 ⓒ 뉴스1

대표이사/발행인 : 이영섭

|

편집인 : 채원배

|

편집국장 : 김기성

|

주소 : 서울시 종로구 종로 47 (공평동,SC빌딩17층)

|

사업자등록번호 : 101-86-62870

|

고충처리인 : 김성환

|

청소년보호책임자 : 안병길

|

통신판매업신고 : 서울종로 0676호

|

등록일 : 2011. 05. 26

|

제호 : 뉴스1코리아(읽기: 뉴스원코리아)

|

대표 전화 : 02-397-7000

|

대표 이메일 : webmaster@news1.kr

Copyright ⓒ 뉴스1. All rights reserved. 무단 사용 및 재배포, AI학습 활용 금지.