[100세건강] 주요 장기 몰린 종격동에 종양? '수술'…검진 중요

가슴뼈와 척추 사이 빈 공간…기관지, 동맥, 심장 등 위치
건강검진 흉부 CT로 알아차려…최근 단일공 로봇수술 주목

본문 이미지 - 기관지, 식도, 대동맥, 심장 등 생명 유지에 필요한 주요 장기가 모두 '종격동' 안에 있다. 다소 생소하지만 '종격동'은 가슴뼈와 척추 사이 빈 공간을 지칭한다. 이런 데 물혹이나 양성 종양 또는 악성 종양(암)을 '종격동 종양'이라고 한다. ⓒ News1 양혜림 디자이너
기관지, 식도, 대동맥, 심장 등 생명 유지에 필요한 주요 장기가 모두 '종격동' 안에 있다. 다소 생소하지만 '종격동'은 가슴뼈와 척추 사이 빈 공간을 지칭한다. 이런 데 물혹이나 양성 종양 또는 악성 종양(암)을 '종격동 종양'이라고 한다. ⓒ News1 양혜림 디자이너

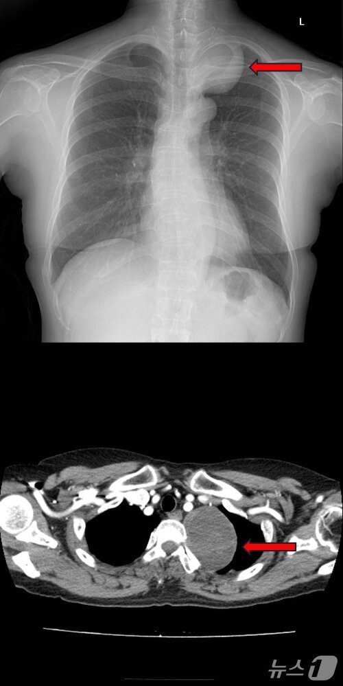
본문 이미지 - 종격동 종양 환자의 흉부 X선사진(위), 종격동 종양 환자의 흉부 CT사진(아래).(고려대학교 안산병원 제공)
종격동 종양 환자의 흉부 X선사진(위), 종격동 종양 환자의 흉부 CT사진(아래).(고려대학교 안산병원 제공)

대표이사/발행인 : 이영섭

|

편집인 : 채원배

|

편집국장 : 김기성

|

주소 : 서울시 종로구 종로 47 (공평동,SC빌딩17층)

|

사업자등록번호 : 101-86-62870

|

고충처리인 : 김성환

|

청소년보호책임자 : 안병길

|

통신판매업신고 : 서울종로 0676호

|

등록일 : 2011. 05. 26

|

제호 : 뉴스1코리아(읽기: 뉴스원코리아)

|

대표 전화 : 02-397-7000

|

대표 이메일 : webmaster@news1.kr

Copyright ⓒ 뉴스1. All rights reserved. 무단 사용 및 재배포, AI학습 활용 금지.