"치매 치료 선도할 것"…美 하버드 교수 극찬한 뉴로엑스티 AI 기술

하버드의대 병원과 공동연구…AI 활용 약물 효과 예측 기술 개발 집중
치료제 한계 'ARIA' 부작용 발생 가능성 예상해 새 패러다임 개척

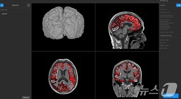
본문 이미지 - 뉴로엑스티 알츠하이머 분석 AI 의료 솔루션 활용 모습.(뉴로엑스티 제공)/뉴스1 ⓒ News1
뉴로엑스티 알츠하이머 분석 AI 의료 솔루션 활용 모습.(뉴로엑스티 제공)/뉴스1 ⓒ News1

대표이사/발행인 : 이영섭

|

편집인 : 채원배

|

편집국장 : 김기성

|

주소 : 서울시 종로구 종로 47 (공평동,SC빌딩17층)

|

사업자등록번호 : 101-86-62870

|

고충처리인 : 김성환

|

청소년보호책임자 : 안병길

|

통신판매업신고 : 서울종로 0676호

|

등록일 : 2011. 05. 26

|

제호 : 뉴스1코리아(읽기: 뉴스원코리아)

|

대표 전화 : 02-397-7000

|

대표 이메일 : webmaster@news1.kr

Copyright ⓒ 뉴스1. All rights reserved. 무단 사용 및 재배포, AI학습 활용 금지.