마취 전 검사에서 폐종양 발견…12살 몰티즈, 흉강경 수술로 새 삶

인천 스카이동물메디컬센터 반려견 폐종양 증례

본문 이미지 - 최근 인천 24시 스카이동물메디컬센터에 피부 종괴 수술을 위해 내원한 말티즈(몰티즈) '바람이'는 예상치 못한 폐 종괴를 발견했다(사진은 기사 내용과 무관함, 이미지투데이). ⓒ 뉴스1
최근 인천 24시 스카이동물메디컬센터에 피부 종괴 수술을 위해 내원한 말티즈(몰티즈) '바람이'는 예상치 못한 폐 종괴를 발견했다(사진은 기사 내용과 무관함, 이미지투데이). ⓒ 뉴스1

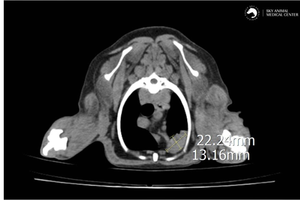
본문 이미지 - 바람이는 CT검사 결과 폐 좌측 전엽에서 종양이 의심되는 소견이 발견됐다(동물병원 제공). ⓒ 뉴스1
바람이는 CT검사 결과 폐 좌측 전엽에서 종양이 의심되는 소견이 발견됐다(동물병원 제공). ⓒ 뉴스1

본문 이미지 - 개흉 범위를 최소화하고, 통증·감염·조직 손상 위험을 줄이기 위해 흉강경을 이용해 수술하는 모습(동물병원 제공) ⓒ 뉴스1
개흉 범위를 최소화하고, 통증·감염·조직 손상 위험을 줄이기 위해 흉강경을 이용해 수술하는 모습(동물병원 제공) ⓒ 뉴스1

본문 이미지 - 문종선 인천 스카이동물메디컬센터 대표 원장 ⓒ 뉴스1
문종선 인천 스카이동물메디컬센터 대표 원장 ⓒ 뉴스1

대표이사/발행인 : 이영섭

|

편집인 : 채원배

|

편집국장 : 김기성

|

주소 : 서울시 종로구 종로 47 (공평동,SC빌딩17층)

|

사업자등록번호 : 101-86-62870

|

고충처리인 : 김성환

|

청소년보호책임자 : 안병길

|

통신판매업신고 : 서울종로 0676호

|

등록일 : 2011. 05. 26

|

제호 : 뉴스1코리아(읽기: 뉴스원코리아)

|

대표 전화 : 02-397-7000

|

대표 이메일 : webmaster@news1.kr

Copyright ⓒ 뉴스1. All rights reserved. 무단 사용 및 재배포, AI학습 활용 금지.