신장 종양에 요관 결석까지…위기 넘긴 고양이의 기적 같은 회복

[벳앤패밀리]신장 제거·인공요관 장착술 증례

편집자주 ...반려동물이 한 가족으로 자리 잡으면서 건강에 대한 관심이 높아지고 있다. 강아지(애견), 고양이(애묘)가 건강하게 오래 사는 것은 보호자들의 가장 큰 소원이다. '벳앤패밀리'는 수의사+가족의 합성어로 '뉴스1'에서는 동물병원을 찾은 가족들의 사연을 연재한다. 이를 통해 동물을 더욱 건강하게 키우고 수의사와 보호자가 소통하며 웃을 수 있는 '우리냥 행복하개' 캠페인을 진행한다.

본문 이미지 - 신장 파열과 요관 결석으로 수술 받고 인공 요관을 장착한 고양이 '뽀솜이'(월드펫동물메디컬센터 제공) ⓒ 뉴스1
신장 파열과 요관 결석으로 수술 받고 인공 요관을 장착한 고양이 '뽀솜이'(월드펫동물메디컬센터 제공) ⓒ 뉴스1

본문 이미지 - 뽀솜이는 신장 파열로 소변이 복강과 후복강까지 번져있던 상태였다(월드펫동물메디컬센터 제공). ⓒ 뉴스1
뽀솜이는 신장 파열로 소변이 복강과 후복강까지 번져있던 상태였다(월드펫동물메디컬센터 제공). ⓒ 뉴스1

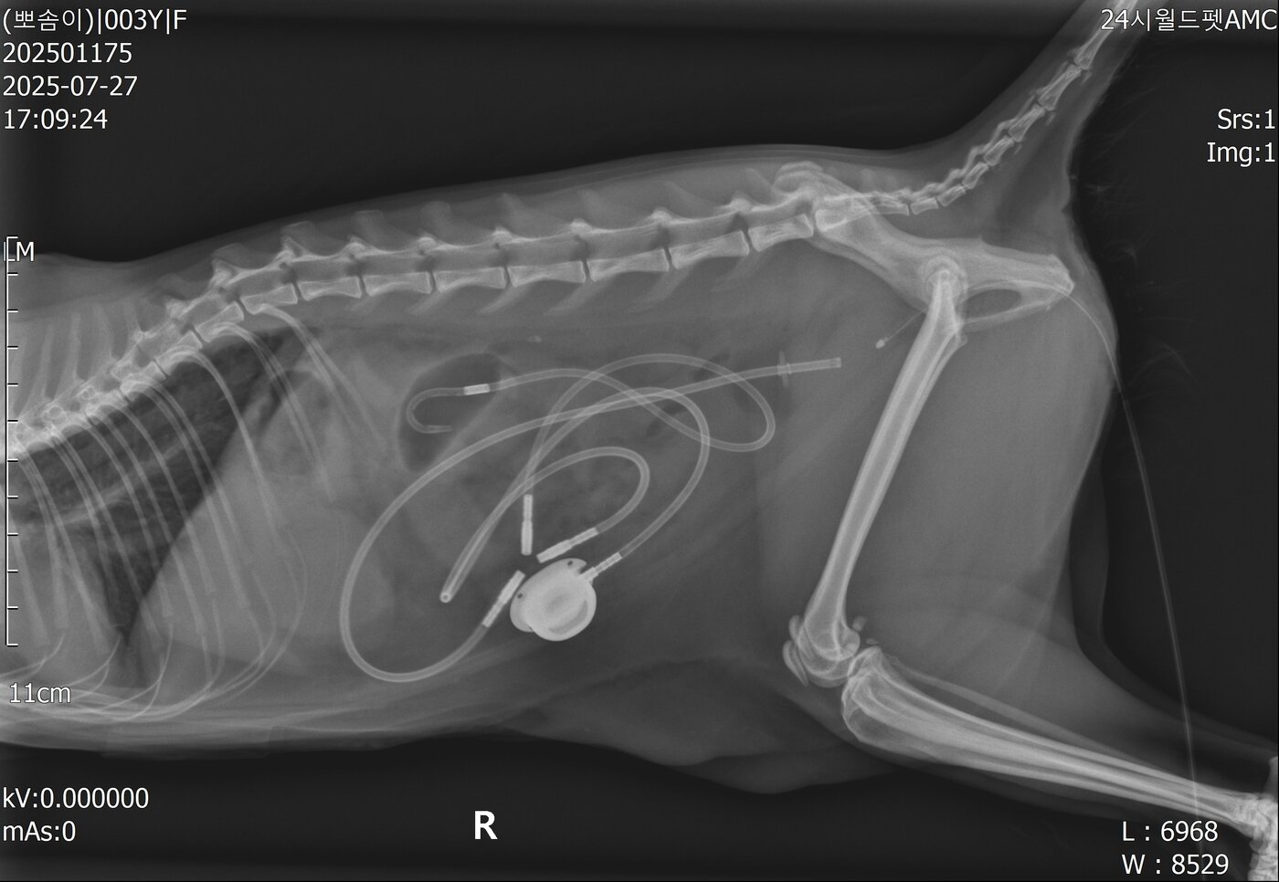
본문 이미지 - 인공 요관을 장착한 모습(월드펫동물메디컬센터 제공) ⓒ 뉴스1
인공 요관을 장착한 모습(월드펫동물메디컬센터 제공) ⓒ 뉴스1

본문 이미지 - 퇴원 후 평범한 일상을 보내고 있는 뽀솜이(보호자 제공) ⓒ 뉴스1
퇴원 후 평범한 일상을 보내고 있는 뽀솜이(보호자 제공) ⓒ 뉴스1

본문 이미지 - 이철기 월드펫동물메디컬센터 원장 ⓒ 뉴스1
이철기 월드펫동물메디컬센터 원장 ⓒ 뉴스1

대표이사/발행인 : 이영섭

|

편집인 : 채원배

|

편집국장 : 김기성

|

주소 : 서울시 종로구 종로 47 (공평동,SC빌딩17층)

|

사업자등록번호 : 101-86-62870

|

고충처리인 : 김성환

|

청소년보호책임자 : 안병길

|

통신판매업신고 : 서울종로 0676호

|

등록일 : 2011. 05. 26

|

제호 : 뉴스1코리아(읽기: 뉴스원코리아)

|

대표 전화 : 02-397-7000

|

대표 이메일 : webmaster@news1.kr

Copyright ⓒ 뉴스1. All rights reserved. 무단 사용 및 재배포, AI학습 활용 금지.