슬개골 수술 뒤 또 '절뚝'…십자인대 파열된 반려견, TPLO로 회복

월드펫동물메디컬센터, 고난도 TPLO 증례

본문 이미지 - 최근 월드펫동물메디컬센터는 슬개골 탈구 수술 이력이 있는 반려견의 TPLO 수술을 성공적으로 진행했다고 밝혔다(사진은 기사 내용과 무관함, 클립아트코리아). ⓒ 뉴스1
최근 월드펫동물메디컬센터는 슬개골 탈구 수술 이력이 있는 반려견의 TPLO 수술을 성공적으로 진행했다고 밝혔다(사진은 기사 내용과 무관함, 클립아트코리아). ⓒ 뉴스1

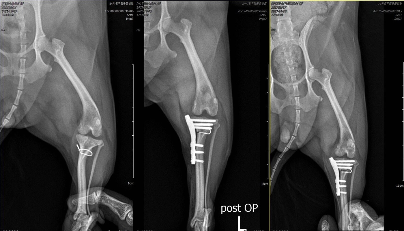
본문 이미지 - 콩순이의 TPLO 수술 전, 후, 최근 방사선 사진(월드펫동물메디컬센터 제공) ⓒ 뉴스1
콩순이의 TPLO 수술 전, 후, 최근 방사선 사진(월드펫동물메디컬센터 제공) ⓒ 뉴스1

본문 이미지 - TPLO 수술 10일차 콩순이의 보행 영상(월드펫동물메디컬센터 제공) ⓒ 뉴스1
TPLO 수술 10일차 콩순이의 보행 영상(월드펫동물메디컬센터 제공) ⓒ 뉴스1

본문 이미지 - 차진원 월드펫동물메디컬센터 대표원장 ⓒ 뉴스1
차진원 월드펫동물메디컬센터 대표원장 ⓒ 뉴스1

대표이사/발행인 : 이영섭

|

편집인 : 채원배

|

편집국장 : 김기성

|

주소 : 서울시 종로구 종로 47 (공평동,SC빌딩17층)

|

사업자등록번호 : 101-86-62870

|

고충처리인 : 김성환

|

청소년보호책임자 : 안병길

|

통신판매업신고 : 서울종로 0676호

|

등록일 : 2011. 05. 26

|

제호 : 뉴스1코리아(읽기: 뉴스원코리아)

|

대표 전화 : 02-397-7000

|

대표 이메일 : webmaster@news1.kr

Copyright ⓒ 뉴스1. All rights reserved. 무단 사용 및 재배포, AI학습 활용 금지.