다리 절던 강아지, 슬개골 탈구 4기…관절 수술 후 안정감 찾았다

[벳앤패밀리]수원 돌봄동물의료센터 증례

편집자주 ...반려동물이 한 가족으로 자리 잡으면서 건강에 대한 관심이 높아지고 있다. 강아지(애견), 고양이(애묘)가 건강하게 오래 사는 것은 보호자들의 가장 큰 소원이다. '벳앤패밀리'는 수의사+가족의 합성어로 '뉴스1'에서는 동물병원을 찾은 가족들의 사연을 연재한다. 이를 통해 동물을 더욱 건강하게 키우고 수의사와 보호자가 소통하며 웃을 수 있는 '우리냥 행복하개' 캠페인을 진행한다.

본문 이미지 - 두 발로 서 있는 강아지. 자주 서 있으면 관절 건강에 좋지 않다(사진 이미지투데이). ⓒ 뉴스1
두 발로 서 있는 강아지. 자주 서 있으면 관절 건강에 좋지 않다(사진 이미지투데이). ⓒ 뉴스1

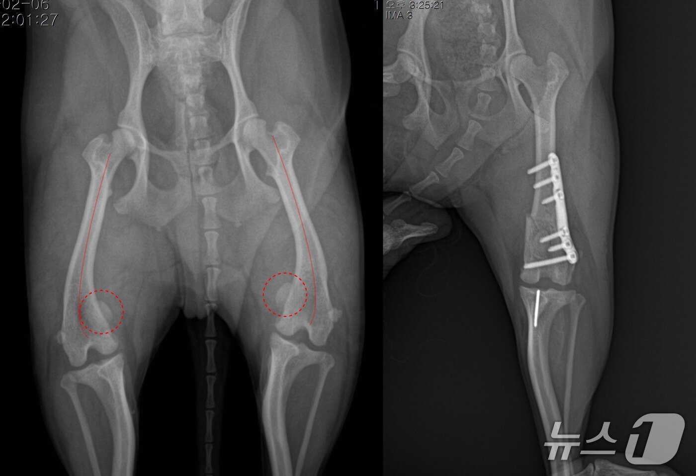
본문 이미지 - 의료용 플레이트를 활용한 슬개골 수술 전(왼쪽)과 후(돌봄동물의료센터 제공) ⓒ 뉴스1
의료용 플레이트를 활용한 슬개골 수술 전(왼쪽)과 후(돌봄동물의료센터 제공) ⓒ 뉴스1

본문 이미지 - 나무 원장(돌봄동물의료센터 제공) ⓒ 뉴스1
나무 원장(돌봄동물의료센터 제공) ⓒ 뉴스1

대표이사/발행인 : 이영섭

|

편집인 : 채원배

|

편집국장 : 김기성

|

주소 : 서울시 종로구 종로 47 (공평동,SC빌딩17층)

|

사업자등록번호 : 101-86-62870

|

고충처리인 : 김성환

|

청소년보호책임자 : 안병길

|

통신판매업신고 : 서울종로 0676호

|

등록일 : 2011. 05. 26

|

제호 : 뉴스1코리아(읽기: 뉴스원코리아)

|

대표 전화 : 02-397-7000

|

대표 이메일 : webmaster@news1.kr

Copyright ⓒ 뉴스1. All rights reserved. 무단 사용 및 재배포, AI학습 활용 금지.