근육 마비 루게릭병 환자, CT 영상으로 폐활량 측정 대신 한다

서울대병원 교수진, 딥러닝 기술로 환자 261명 흉부 CT 분석
"환자 진단, 임상 결정 보조하는 효과적 수단으로 활용 기대"

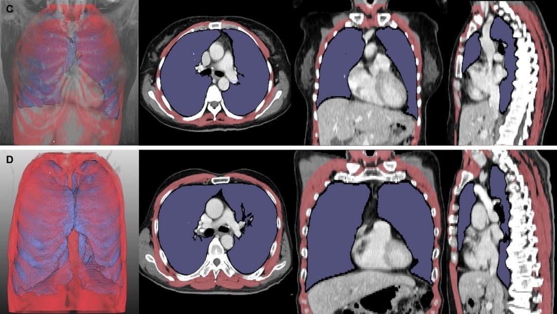
본문 이미지 - 루게릭병 환자의 흉부 CT 분석 결과(서울대병원 제공)
루게릭병 환자의 흉부 CT 분석 결과(서울대병원 제공)

본문 이미지 - 서울대병원 신경과 최석진 교수, 김종수 연구원, 성정준 교수, 영상의학과 박창민, 최규성 교수(서울대병원 제공)
서울대병원 신경과 최석진 교수, 김종수 연구원, 성정준 교수, 영상의학과 박창민, 최규성 교수(서울대병원 제공)

대표이사/발행인 : 이영섭

|

편집인 : 채원배

|

편집국장 : 김기성

|

주소 : 서울시 종로구 종로 47 (공평동,SC빌딩17층)

|

사업자등록번호 : 101-86-62870

|

고충처리인 : 김성환

|

청소년보호책임자 : 안병길

|

통신판매업신고 : 서울종로 0676호

|

등록일 : 2011. 05. 26

|

제호 : 뉴스1코리아(읽기: 뉴스원코리아)

|

대표 전화 : 02-397-7000

|

대표 이메일 : webmaster@news1.kr

Copyright ⓒ 뉴스1. All rights reserved. 무단 사용 및 재배포, AI학습 활용 금지.