본동물의료센터, 복강경으로 반려견 부신종양 절제…"회복 빨라"

빠른 회복, 통증 감소…최소침습수술 영역 확대

본문 이미지 - 본동물의료센터 의료진이 복강경을 이용해 수술하고 있다(본동물의료센터 제공). ⓒ 뉴스1
본동물의료센터 의료진이 복강경을 이용해 수술하고 있다(본동물의료센터 제공). ⓒ 뉴스1

본문 이미지 - 10살 말티즈 복부 초음파 검사 결과 확인된 종양(본동물의료센터 제공) ⓒ 뉴스1
10살 말티즈 복부 초음파 검사 결과 확인된 종양(본동물의료센터 제공) ⓒ 뉴스1
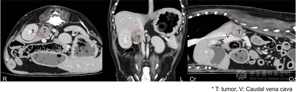
본문 이미지 - 10살 말티즈 CT 검사 결과 확인된 부신 종양(본동물의료센터 제공) ⓒ 뉴스1
10살 말티즈 CT 검사 결과 확인된 부신 종양(본동물의료센터 제공) ⓒ 뉴스1

본문 이미지 - 복강경으로 확인한 종양화된 부신(본동물의료센터 제공) ⓒ 뉴스1
복강경으로 확인한 종양화된 부신(본동물의료센터 제공) ⓒ 뉴스1

본문 이미지 - 류예빈 본동물의료센터 외과 부장 ⓒ 뉴스1
류예빈 본동물의료센터 외과 부장 ⓒ 뉴스1

대표이사/발행인 : 이영섭

|

편집인 : 채원배

|

편집국장 : 김기성

|

주소 : 서울시 종로구 종로 47 (공평동,SC빌딩17층)

|

사업자등록번호 : 101-86-62870

|

고충처리인 : 김성환

|

청소년보호책임자 : 안병길

|

통신판매업신고 : 서울종로 0676호

|

등록일 : 2011. 05. 26

|

제호 : 뉴스1코리아(읽기: 뉴스원코리아)

|

대표 전화 : 02-397-7000

|

대표 이메일 : webmaster@news1.kr

Copyright ⓒ 뉴스1. All rights reserved. 무단 사용 및 재배포, AI학습 활용 금지.