"기적처럼 얻은 소중한 시간"…심장병 말기 사랑이가 남긴 선물

구리 더케어동물의료센터, MMVD 환견 치료 사례

본문 이미지 - 보호자와 교감하는 몰티즈 강아지(사진 클립아트코리아) (사진은 기사 내용과 무관함) / 뉴스1 ⓒ News1
보호자와 교감하는 몰티즈 강아지(사진 클립아트코리아) (사진은 기사 내용과 무관함) / 뉴스1 ⓒ News1

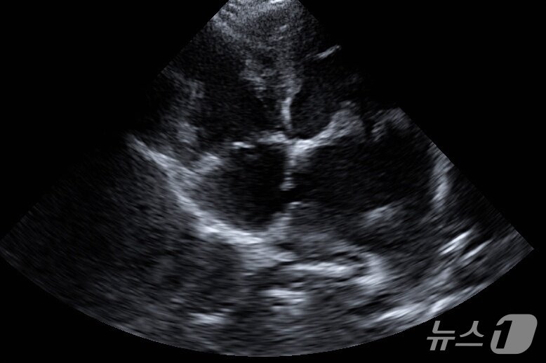
본문 이미지 - 강아지 초음파 검사 결과 심방중격 부위가 터진 모습(더케어동물의료센터 제공) ⓒ 뉴스1
강아지 초음파 검사 결과 심방중격 부위가 터진 모습(더케어동물의료센터 제공) ⓒ 뉴스1

대표이사/발행인 : 이영섭

|

편집인 : 채원배

|

편집국장 : 김기성

|

주소 : 서울시 종로구 종로 47 (공평동,SC빌딩17층)

|

사업자등록번호 : 101-86-62870

|

고충처리인 : 김성환

|

청소년보호책임자 : 안병길

|

통신판매업신고 : 서울종로 0676호

|

등록일 : 2011. 05. 26

|

제호 : 뉴스1코리아(읽기: 뉴스원코리아)

|

대표 전화 : 02-397-7000

|

대표 이메일 : webmaster@news1.kr

Copyright ⓒ 뉴스1. All rights reserved. 무단 사용 및 재배포, AI학습 활용 금지.