벚꽃놀이 신났던 강아지, 축 처진 몸에 결국 수혈…무슨 일?

진드기 매개 바베시아 감염 돼 적혈구 파괴
단순 피로와 달리 침울함 동반…식욕도 감퇴

본문 이미지 - 봄철 반려견과 야외 활동이 늘면서 진드기 매개 질환에 대한 주의가 요구되고 있다(사진은 기사 내용과 무관함, 클립아트코리아). ⓒ 뉴스1
봄철 반려견과 야외 활동이 늘면서 진드기 매개 질환에 대한 주의가 요구되고 있다(사진은 기사 내용과 무관함, 클립아트코리아). ⓒ 뉴스1

본문 이미지 - 반려견 다리에 붙어있는 진드기(SD동물의료센터 제공) ⓒ 뉴스1
반려견 다리에 붙어있는 진드기(SD동물의료센터 제공) ⓒ 뉴스1

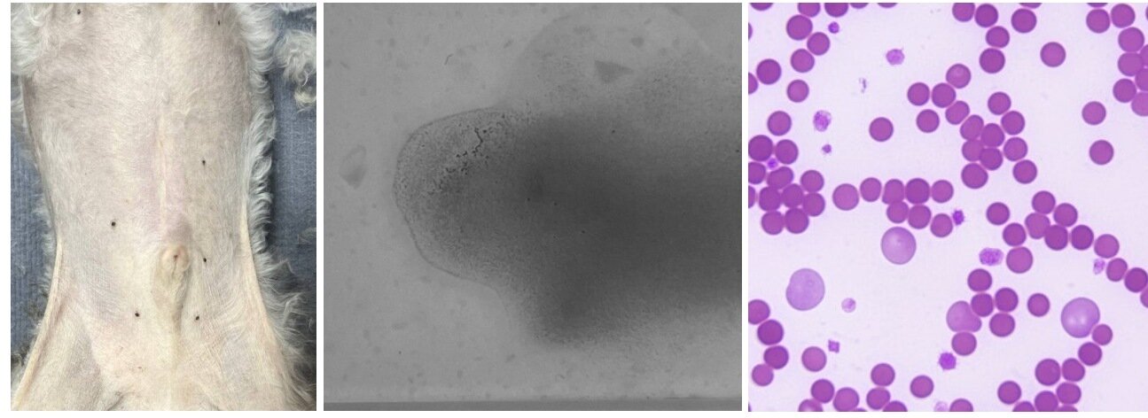
본문 이미지 - 황달이 확인된 반려견의 배(맨 왼쪽), 자가 응집 반응이 확인된 혈액, 현미경으로 확인했을 때 뭉치고 있는 적혈구(SD동물의료센터 제공) ⓒ 뉴스1
황달이 확인된 반려견의 배(맨 왼쪽), 자가 응집 반응이 확인된 혈액, 현미경으로 확인했을 때 뭉치고 있는 적혈구(SD동물의료센터 제공) ⓒ 뉴스1

본문 이미지 - 유지수 SD동물의료센터 내과 과장 ⓒ 뉴스1
유지수 SD동물의료센터 내과 과장 ⓒ 뉴스1

대표이사/발행인 : 이영섭

|

편집인 : 채원배

|

편집국장 : 김기성

|

주소 : 서울시 종로구 종로 47 (공평동,SC빌딩17층)

|

사업자등록번호 : 101-86-62870

|

고충처리인 : 김성환

|

청소년보호책임자 : 안병길

|

통신판매업신고 : 서울종로 0676호

|

등록일 : 2011. 05. 26

|

제호 : 뉴스1코리아(읽기: 뉴스원코리아)

|

대표 전화 : 02-397-7000

|

대표 이메일 : webmaster@news1.kr

Copyright ⓒ 뉴스1. All rights reserved. 무단 사용 및 재배포, AI학습 활용 금지.