반복되는 강아지 발작, 뇌전증 아니었다…MRI 검사로 찾은 원인은

본동물의료센터 반려견 뇌수막염 증례

본문 이미지 - 반려견이 반복적인 발작이나 경련을 보인다면 단순 뇌전증이 아니라 '뇌수막염(MUE, 원인 불명 뇌수막염)'일 가능성도 있어 정밀 검사가 필요하다는 지적이 나온다(클립아트코리아, 사진은 기사 내용과 무관함). ⓒ 뉴스1
반려견이 반복적인 발작이나 경련을 보인다면 단순 뇌전증이 아니라 '뇌수막염(MUE, 원인 불명 뇌수막염)'일 가능성도 있어 정밀 검사가 필요하다는 지적이 나온다(클립아트코리아, 사진은 기사 내용과 무관함). ⓒ 뉴스1

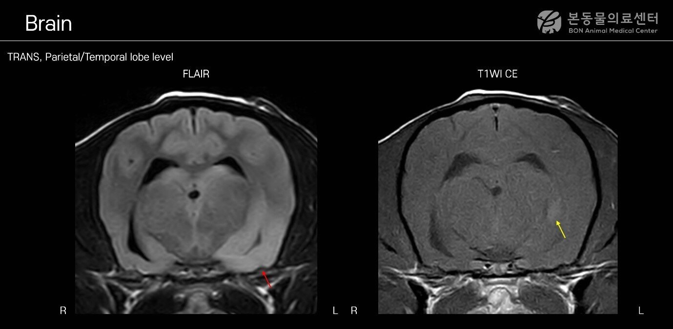
본문 이미지 - MRI 검사 결과 염증 부위를 확인할 수 있는 사진(본동물의료센터 제공) ⓒ 뉴스1
MRI 검사 결과 염증 부위를 확인할 수 있는 사진(본동물의료센터 제공) ⓒ 뉴스1

본문 이미지 - 뇌척수액 검사 결과 유핵세포 수가 증가된 모습(왼쪽)과 유핵세포 대부분이 단핵세포로 구성돼 있는 모습. 이는 비감염성 염증성 질환에서 흔히 보이는 패턴이다(본동물의료센터 제공). ⓒ 뉴스1
뇌척수액 검사 결과 유핵세포 수가 증가된 모습(왼쪽)과 유핵세포 대부분이 단핵세포로 구성돼 있는 모습. 이는 비감염성 염증성 질환에서 흔히 보이는 패턴이다(본동물의료센터 제공). ⓒ 뉴스1

본문 이미지 - 박지운 본동물의료센터 영상의학과 과장 ⓒ 뉴스1
박지운 본동물의료센터 영상의학과 과장 ⓒ 뉴스1

대표이사/발행인 : 이영섭

|

편집인 : 채원배

|

편집국장 : 김기성

|

주소 : 서울시 종로구 종로 47 (공평동,SC빌딩17층)

|

사업자등록번호 : 101-86-62870

|

고충처리인 : 김성환

|

청소년보호책임자 : 안병길

|

통신판매업신고 : 서울종로 0676호

|

등록일 : 2011. 05. 26

|

제호 : 뉴스1코리아(읽기: 뉴스원코리아)

|

대표 전화 : 02-397-7000

|

대표 이메일 : webmaster@news1.kr

Copyright ⓒ 뉴스1. All rights reserved. 무단 사용 및 재배포, AI학습 활용 금지.