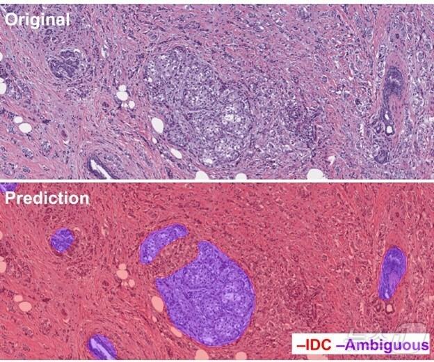
성능 평가 결과 바이오 엔지니어링 분야 학술지 게재딥바이오 유방암AI분석 알고리즘 모델 이미지/뉴스1관련 키워드딥바이오관련 기사마크롱 대통령 "프랑스, 미국보다 예측 가능해"…삼성·현대와 협력 강조마크롱 프랑스 대통령·김민석 국무총리, 미래산업 협력 위해 한자리에이재용·정의선 등 총수 총출동…마크롱 만나 '미래산업' 머리 맞대K-헬스미래추진단, 유럽 JEDI와 협약…바이오헬스 연구 협력 추진혁신벤처단체協 "코스닥 1·2부 방식은 시장 왜곡·낙인효과 초래"