소나무·곰솔 판별…산림과학원, 분자표지 기술 특허 출원
- 박찬수 기자

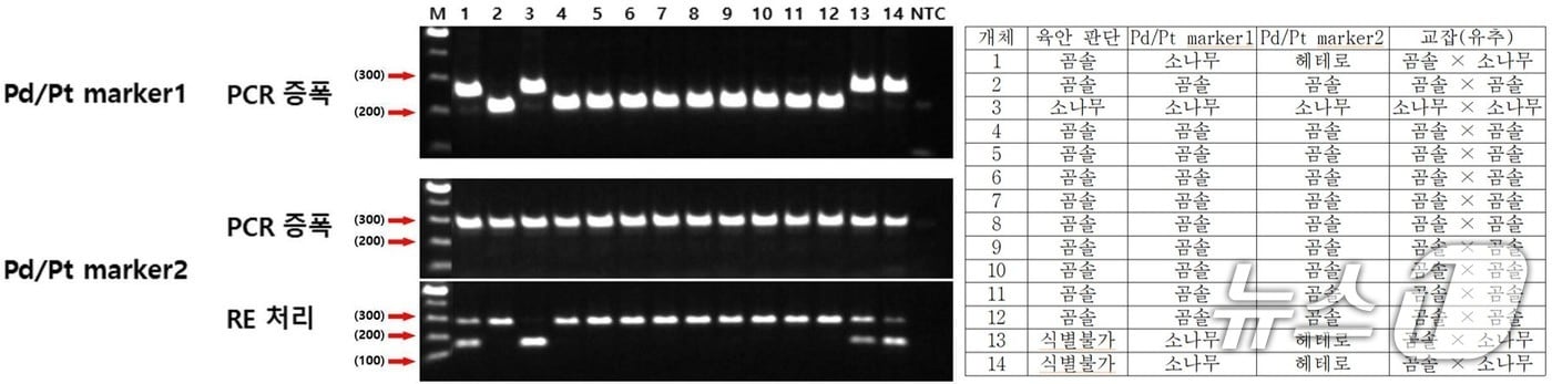
(대전ㆍ충남=뉴스1) 박찬수 기자 = 산림청 국립산림과학원은 산림자원의 유전자원 관리와 소나무류 육종기반 확보를 위해 소나무와 곰솔을 판별할 수 있는 분자표지(molecular marker)를 개발했다고 4일 밝혔다.
소나무와 곰솔은 수피, 잎눈의 색, 잎의 형태 등을 통해 육안으로 구분되지만, 나무가 자랄수록 형태가 유사해지고 자연교잡이 빈번하여 두 수종이 함께 자라는 자연집단에서는 종을 정확히 판단하기 어렵다.
이에 연구진은 소나무류에서 엽록체는 부계로, 핵은 부계와 모계 각각 절반씩 유전되는 특성에 착안해 엽록체 및 핵 유전체 염기서열을 비교·분석했다.
그 결과 자연집단에서 자생한 나무의 부모 수종을 유추할 수 있는 엽록체 기반 INDEL(삽입·삭제) 및 핵 기반 CAPS(절단 증폭 다형성) 분자표지 2종을 개발해 특허 출원을 완료했다. 이번에 개발된 분자표지는 유전자원 및 육종집단 관리뿐만 아니라 종자 및 목재 유통 관리에도 폭넓게 활용될 것으로 기대된다.
산림청 국립산림과학원 임목자원연구과 오창영 과장은 “용재수종인 소나무와 곰솔 유전자원의 정확한 식별과 유지·관리를 위해 분자표지를 개발했다”며 “이번 연구를 통해 소나무류 유전자원을 효율적으로 관리·육성할 수 있을 것으로 기대한다”고 전했다.
pcs4200@news1.kr
Copyright ⓒ 뉴스1. All rights reserved. 무단 전재 및 재배포, AI학습 이용금지.









