한·미 연구진, 폐 재생능력 향상 폐줄기세포 분화 촉진 메커니즘 밝혀
- 김태진 기자

(대전=뉴스1) 김태진 기자 = 한국과 미국 공동연구진이 한 번 손상되면 되살리기 힘든 폐의 재생 능력을 향상시키는 폐줄기세포 분화 촉진 메커니즘을 밝혀냈다.
한국연구재단은 노스웨스턴대학교 한승혜 교수, 동국대학교 이민호 교수 공동연구팀이 미토콘드리아가 폐줄기세포의 기능과 분화를 조절하는 신호 전달 기능이 있음을 규명했다고 29일 밝혔다.
미토콘드리아는 세포가 사용할 에너지를 생산하는 세포 내 기관으로, 세포 내의 대사에 중요한 역할을 한다.
줄기세포는 한 개의 세포가 여러 종류의 다른 세포를 생산해 낼 수 있는 특이한 능력(다중분화능)을 가진 세포로, 우리 몸의 손상된 부위의 세포들을 새로 재생할 수 있는 세포를 통칭한다.
2020년 세계보건기구(WHO)에 따르면 10대 사망원인 중 하나로 만성폐질환·폐렴을 보고했다. 지구의 대기오염을 비롯해 코로나19 팬데믹 이후로 폐질환에 대한 경각심은 더욱 높아진 상황이다.
폐는 한 번 손상되면 다시 살려내기 힘들어 재생 능력을 촉진하는 치료법 개발이 시급하다. 이를 위해서는 폐줄기세포의 기능과 분화를 조절하는 기전에 대한 규명이 필수적이다.
이에 연구팀은 만성폐질환 및 폐렴 환자에서 공통적으로 관찰되는 미토콘드리아 기능 저하에 주목했다.
미토콘드리아의 기능이 폐줄기세포 분화에 관여하는지는 아직 알려지지 않았다.
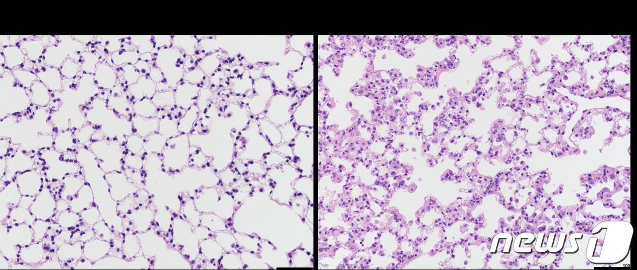
우선 연구팀은 유전자 녹아웃 마우스를 이용해 발생 기간에 폐상피세포에서 미토콘드리아 전자전달계 기능을 제거했으며, 녹아웃 마우스가 호흡부전으로 사망하는 것을 확인했다.
이어 해당 폐조직에 대한 단일세포 전사체분석 결과 미토콘드리아가 통합 스트레스 반응(ISR)에 관여한다는 것을 찾아냈다.
또 미토콘드리아 전자전달계 기능이 상실됐을 때 ISR이 매우 높게 활성화된 반면 ISR 억제제를 투여받은 녹아웃 쥐는 대부분 살아남았고 비정상적 폐구조도 교정됐다.
이는 미토콘드리아가 세포 내 에너지를 생산하는 기능 외에도 세포의 기능과 분화를 조절하는 신호 전달 기능이 있음을 확인한 것이다.
이를 통해 연구팀은 폐 세포 내에서 미토콘드리아가 비정상적으로 높게 ISR이 활성화되는 것을 막음으로써 폐줄기세포 분화에 필수적인 역할을 한다는 것을 증명했다.
연구진은 “폐질환 환자들의 미토콘드리아 ISR을 조절해 폐줄기세포 분화를 촉진하고 폐재생을 증진하는 방식의 치료법을 개발할 수 있을 것으로 기대된다”고 말했다.
과학기술정보통신부와 한국연구재단이 추진하는 중견연구 사업 지원으로 수행된 이번 연구 성과는 국제학술지 ‘네이처’에 지난 24일 게재됐다.
memory4444444@news1.kr
Copyright ⓒ 뉴스1. All rights reserved. 무단 전재 및 재배포, AI학습 이용금지.









